《臻知识》系列专访 第03期

求臻医学特邀空军特色医学中心顾国利教授,结合最新发表于Virchows Arch上的,关于“MSI-L状态的局晚期胃癌患者新辅助化疗后复发风险较高”的文章进行解读。
顾国利教授:目前50%的胃癌患者初诊时即为进展期,术后复发率高达40-60%,5年生存率仅为5-20%,中位OS不到12个月。新辅助化疗联合手术切除是目前局部晚期胃癌的标准治疗,但目前并无相关预测及预后生物标记物。
本研究通过分析经新辅助化疗及D2切除术的96例局部晚期胃癌患者的临床病理学特征、肿瘤退缩分级、DFS、OS及MSI状态,发现与MSS胃癌患者相比,MSI-L患者神经侵犯发生率显著升高、MUC5AC表达显著降低,提示其恶性程度更高,且接受新辅助化疗后的DFS显著缩短,OS较差,但无统计学意义。因此,MSI-L是局部晚期胃癌患者新辅助化疗后预后差的独立预测指标,临床需在制定胃癌指导方案时尤其关注患者的微卫星(MSI)状态。
摘要
鲜有研究关注肿瘤中MSI-L状态的临床指导意义,本研究通过分析经新辅助化疗及D2切除术的96例局部晚期胃癌患者的临床病理学特征、肿瘤退缩分级、DFS、OS及MSI状态,发现与MSS胃癌患者相比,MSI-L患者神经侵犯发生率显著升高(P=0.009)、MUC5AC表达显著降低(P=0.042),提示其恶性程度更高,且接受新辅助化疗后的DFS显著缩短(HR=2.839,P=0.026),OS较差,但无统计学意义。本研究结果提示MSI-L是局部晚期胃癌患者新辅助化疗后预后差的独立预测指标,临床需在制定胃癌指导方案时尤其关注患者的微卫星(MSI)状态。
研究背景
50%的胃癌患者初诊时即为进展期,术后复发率高达40-60%,5年生存率仅为5-20%,中位OS不到12个月。新辅助化疗联合手术切除是目前局部晚期胃癌的标准治疗,但目前并无相关预测及预后生物标记物。
根据MSI被检出的频率可将MSI状态分为三类:MSS、MSI-L及MSI-H。MSI状态的生物学功能最初在结直肠癌中被证实,MSI-H结直肠癌预后好,对于5-FU化疗不敏感,而且MSI-H可作为实体瘤PD-L1抑制剂疗效预测指标。近期有研究表明MSI-H 胃癌患者的预后较好,从化疗中获益有限。然而关于MSI-L的相关研究数据尚少,MSI-L的临床意义尚存在争议。
研究方法
研究入组2014年至2018年在华西医院诊断为局部晚期胃腺癌(T3-4a,N+,M0)、经3周期XELOX新辅助治疗(NAC)及D2切除术治疗的109例患者,最终确定入组96例。中位随访时间21个月,20例(16.7%)患者随访期间出现复发,中位时间为14个月(9-27个月)。15例患者死亡,中位时间为17个月(12-30个月)。
所有肿瘤标本均进行Borrmann分型、组织病理学分类、肿瘤退缩分级(TRS)、MSI分析和胃癌相关蛋白标志物检测。在MSI-L肿瘤中进行K-RAS、N-RAS突变和HER2扩增分析。
研究结果
MSI及临床病理学特征
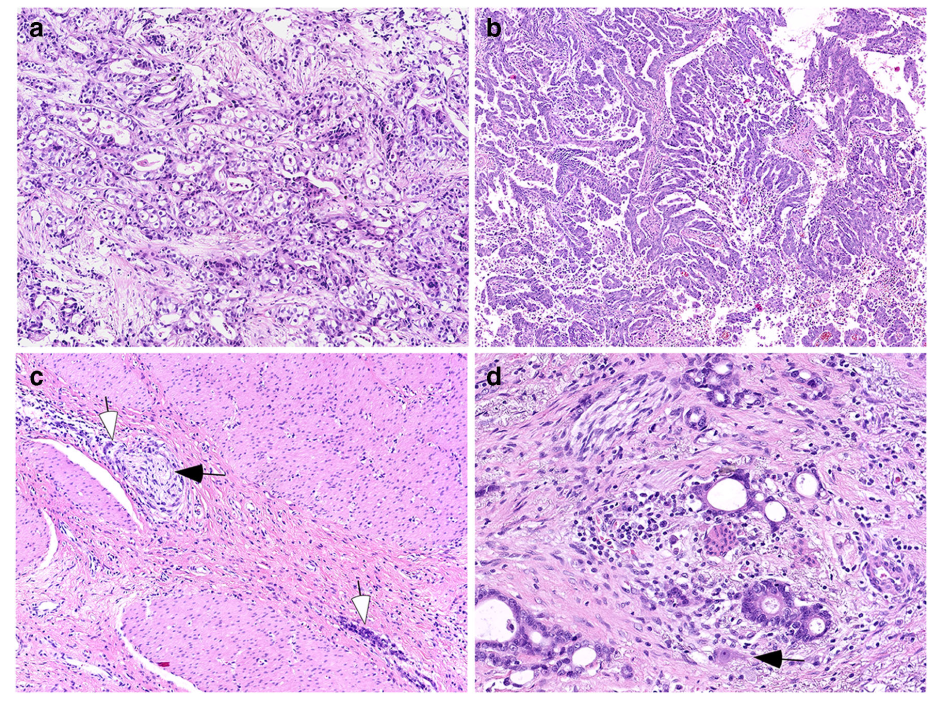
96例患者中,77例(80.2%)为MSS,12例(12.5%)为MSI-L,7例(7.3%)为MSI-H。本文中不再对MSI-H患者进行后续分析。MSS及MSI-L患者的临床病理学特征见表1。MSI-L 胃癌最常见病理类型为管状腺癌(41.7%)、混合腺癌(33.3%)、印戒细胞癌(16.7%)、粘液腺癌(8.3%)(图1a、图1b)。MSI-L肿瘤神经受侵(PNI)发生率较MSS肿瘤高(83.3% vs 44.2%,P=0.009,图1c、图1d)。
MSS患者中胃黏蛋白标记物MUC5AC表达显著升高。无MSI-L肿瘤表达EBER。HER2状态与MSI之间无关联。
表1. 临床病理学特征


图1. MSI-L胃癌的HE组织病理学示例。A. 管状腺癌;B. 混合管状腺癌及乳头状癌;C. 神经浸润(白色箭头:印戒细胞癌,黑色箭头:神经纤维);D.神经浸润(黑色箭头:神经节细胞)。
MSI-L与新辅助化疗后病理缓解
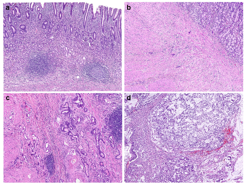
NAC后,6例肿瘤达pCR(TRS 0)、18例(20.2%)TRS 1、44例(49.4%)TRS 2、21例(23.6%)对NAC无应答(TRS 3)。仅2例(16.7%)MSI-L患者应答较好(TRS 0/1)。不同病理类型的应答情况见图2。

图2. 新辅助治疗后肿瘤应答情况示例。A. TRS 0,pCR;B. TRS 1;C. TRS 2,PR; D. TRS 3,低/无应答。
MSI-L及MMR
4例(4/12,33.3%)肿瘤出现MMR蛋白表达部分缺失,均表现出PMS2表达部分缺失,1例肿瘤同时存在MLH1表达部分缺失。
K-RAS/N-RAS突变
12例MSI-L肿瘤均为K-RAS/N-RAS野生型。
临床预后
与MSS患者相比,MSI-L患者的DFS较短(P=0.018)。MSI-L是DFS的独立预后因素,单因素COX回归分析显示HR=2.705(P=0.024)。经多因素分析校正后HR=2.839(P=0.026)(图3a、表2)。多因素COX回归分析显示ypTNM分期为III期的患者DFS劣于0-II期患者(P=0.005),HR=5.369(P=0.026)(图3b、表2)。
但MSI-L并非OS的预后因素,P=0.063(图3c)。

图3. DFS及OS。A. 不同MSI状态的DFS;B. 不同ypTNM分期的DFS;C. 不同MSI状态的OS。
表2. 基于DFS的单因素及多因素COX比例风险模型。

讨论
本研究中,通过对接受3周期XELOX新辅助化疗后进行D2根治术的96例局部晚期胃癌患者进行探索分析发现MSI状态与预后相关。MSI-L是接受新辅助化疗的胃癌患者DFS较差的预后因素。
既往ARTIST研究、CLASSIC研究及MAGIC研究显示MSI-H 胃癌患者的OS较好,且MSI-H患者并不能从辅助化疗或围手术期化疗中获益。但目前并无胃癌中MSI-L状态与预后、MSI状态与XELOX新辅助化疗的相关研究。本研究结果显示MSI-L患者较MSS患者的复发风险更高(P=0.018),OS数值更短但并无统计学差异(P=0.063)。值得注意的是,既往有研究表明MSI-L 胃癌患者预后差,但对化疗应答较好。但由于其样本量仅5例患者,需要进行大样本研究进一步验证MSI-L对于胃癌患者化疗敏感性和预后的指导价值。
本研究中的12例MSI-L患者,4例存在MMR蛋白表达部分缺失,既往在子宫内膜癌中也观察到类似模式。表明对于MMR亚克隆缺失的患者进行MSI评估很有必要,MSI状态不同可能导致预后不同。MMR表达模式和MSI-L之间的关联和潜在机制可能成为今后的研究方向。
MSI-L 胃癌患者中较差的DFS可能与神经受侵相关,83.3% MSI-L 胃癌患者存在神经受侵,而MSS患者中仅有44.2%(P=0.009)。有meta分析表明神经受侵是GC患者OS及DFS的独立预后因素。本研究已发现MSI-L患者中MUC5AC表达降低(P=0.042),MUC5AC表达与肿瘤侵袭及较差的预后相关。
既往研究倾向于认为结直肠癌或胃癌患者中MSI-L表型与MSS表型类似。本研究证实与MSS患者不同,经新辅助化疗及D2根治术的MSI-L 胃癌患者DFS更短。可能解释如下,首先,既往关于结直肠癌研究较多,胃癌研究本就不多,且接受新辅助化疗的胃癌患者更是少之又少。MSI在胃癌致癌过程中的分子机制及作用可能与结直肠癌不同。其次,不同MSI表型取决于检测的位点数量及类型。应用较少位点的panal检测时,MSI-L检出率极低。本研究中应用8个MSI检测位点panel,可能识别更多MSI-L,进而观察到其生物学行为及预后特征。不过,这一点仍需大样本研究进一步验证。
点评
MSI-L是介于MSI-H和MSS之间的一种微卫星不稳定状态,本研究证实MSI-L局部晚期胃癌神经侵犯发生率更高、接受新辅助化疗后的DFS较MSS胃癌显著缩短,OS较差,但无统计学差异。提示不同于MSI-H及MSS,MSI-L有望成为胃癌的重要生物标记物。同时也需注意,MSI-L的检出率依赖于检测位点数和检测方法,临床阶段应充分重视对于MSI检测方法的甄选。
参考文献:
Low level of microsatellite instability correlates with short disease-free survival of gastric cancer patients undergoing neoadjuvant chemotherapy. Virchows Arch. 2020 June 25.




