摘要
雷帕霉素(mTOR)通路是肿瘤重要通路之一,多类肿瘤均存在对应突变,其抑制剂已获批治疗肾细胞癌(RCC),其他肿瘤患者也有获益报道,然而临床实践中仍缺少疗效预测分子标志物。本研究针对105例接受mTOR 抑制剂治疗的进展期RCC检测mTOR通路的分子改变及其与治疗反应间的关系,发现TSC1、TSC2、mTOR基因突变及PTEN蛋白表达缺失的患者更获益于mTOR抑制剂治疗,为临床探索出了mTOR抑制剂的疗效预测分子标志物。
研究背景
mTOR可以调节细胞生长和代谢,是细胞周期进展、蛋白合成途径中最关键的组分。mTOR丝氨酸/苏氨酸激酶通过mTOR复合物1和2(mTORC1/2)发挥作用,mTORC1活性由结节性硬化症复合物1和2(TSC1/2)负调控, 因此mTOR基因激活突变或TSC1/2基因失活突变均可通过mTOR途径诱导癌症发生发展。雷帕霉素及其类似物依维莫司和西罗莫司是mTOR通路抑制剂,通过FKBP12抑制mTORC1复合物,已获批治疗RCC。
美国癌症基因组图谱计划(TCGA)最新数据表明,mTOR、TSC1及TSC2基因突变在RCC各亚型均很常见,透明细胞型12%,乳头型7%,嗜铬细胞型9%,一般认为携带上述突变的RCC对mTOR抑制剂会有较好的治疗反应,但同时很多对mTOR抑制剂有治疗反应者并未携带上述突变,最近有研究认为, PTEN蛋白的免疫组化(IHC)缺失可以预测治疗反应。因此本研究拟探讨mTOR通路组分以及下游效应子如pS6和pS6K1作为预测治疗反应因素的证据。
研究方法与结果
对105例接受mTOR 抑制剂治疗的进展期RCC,进行分子及免疫组化分析mTOR通路,mTOR、TSC1和TSC2突变分析采用下一代测序(NGS), IHC检测PTEN、pAKT、pS6K1、pS6和p21(图1和2)。NGS检测患者中,mTOR通路突变11/87例(13%),其中mTOR 8例,TSC1 1例,TSC2 2例。将上述基因突变情况与治疗反应进行比对,发现携带mTOR通路突变者更易获得部分缓解(PR),高于无突变组(OR=0.08,95%CI=0.008~0.79,单变量P=0.030,多变量P=0.038)。总计有58%的肿瘤组织中PTEN IHC染色阴性,治疗有反应患者中PTEN阴性者较多(OR=0.24,95%CI=0.065~0.86,单变量P=0.029,多变量P=0.029)。突变和PTEN IHC并非相互排斥,联合检测可改善对mTOR 抑制剂治疗反应的预测能力(OR=0.16,95%CI=0.04~0.62,单变量P=0.008,多变量P=0.013)。其他蛋白的表达与治疗反应无关,与无进展生存(PFS)无关。
图1.mTOR 抑制剂治疗反应、突变和IHC染色。矩阵显示的是105例RCC的NGS或IHC数据,有治疗反应患者(Resp),即PR组患者以绿色表示,无治疗反应患者(非Resp)和疾病进展患者以蓝色表示
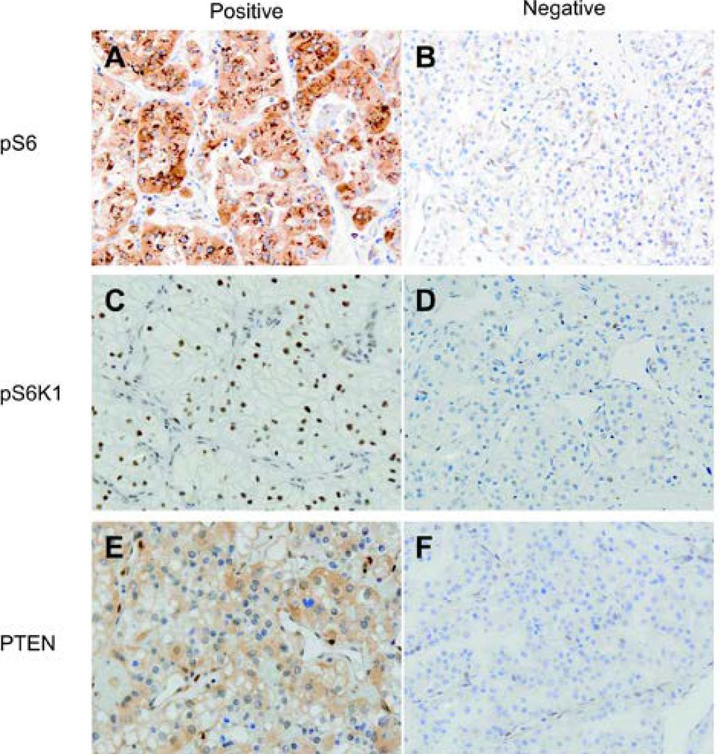
图2.pS6、pS6K1和PTEN的典型IHC图像。A、C、E分别为pS6、pS6K1、PTEN阳性染色,B、D、F分别为阴性染色
讨论
既往研究未能充分证实RCC的mTOR、TSC1和TSC2突变与mTOR 抑制剂治疗反应间明确相关,后续研究还发现PTEN表达与RCC的PFS相关。本研究中的mTOR、TSC1和TSC2突变频率为9%、1%和3%,TCGA中为8%、0.5%和1%,既往RCC mTOR通路突变研究中的突变频率亦与TCGA中的数据不尽相同,表明研究中存在患者选择偏倚,可能富集了对雷帕霉素治疗有治疗反应的患者。
本研究发现PR患者更多携带mTOR、TSC1、TSC2突变,明显高于早期发生疾病进展的患者(80%和24%,P=0.030),如果将疾病稳定患者也纳入分析,则这种差别消失, PFS的结果也类似于此,这表明,mTOR通路突变在肿瘤初始治疗反应中起着更重要的作用,与mTOR 抑制剂敏感病例的相关性更显著,未选择人群中mTOR通路突变的作用不显著。
本研究中治疗反应最好的一位患者为PR且PFS达89个月,该患的pS6 IHC染色阳性,携带活化的MTOR p.Y1974H突变,该突变认为是肿瘤早期事件,所有肿瘤组织内均可检测到。另一位携带MTOR p.Y1974H突变患者的pS6染色也是阳性,治疗后获PR,后因毒性而停止治疗PFS仍达9个月。另一病例为TSC1失活突变(p.P333HfsTer5),依维莫司四线治疗后达PR且PFS达21个月,pS6阳性。然而,一例mTOR通路突变(TSC2突变p.Y779X)患者对mTOR抑制剂的最佳治疗反应是疾病进展,一些mTOR抑制剂治疗临床获益患者的肿瘤为野生型。因此,本研究结果虽支持mTOR通路突变的治疗反应预测作用,但仍有未知的其他预测机制参与其中。
最近有研究认为PTEN IHC表达缺失是RCC依维莫司的疗效标志物,本研究证实了这一关联,即有治疗反应者PTEN阴性概率更高。本研究和Voss的研究中,RCC的PTEN IHC阴性率分别为58%和50%,远高于PTEN点突变和缺失所致的预期PTEN失表达,提示存在其他调控机制导致 PTEN失活,如DNA甲基化或miRNA介导的抑制,而且确有研究支持这种机制。此外,mTOR突变和PTEN IHC阴性并非相互排斥事件,提示对治疗反应的预测有叠加作用。
PTEN RPPA数据显示,PTEN低表达与S6的上游调节因子S6K1磷酸化增强相关,但在本研究中未发现相关性,pS6 IHC阳性的肿瘤47%,高于13%的MTOR、TSC1或TSC2突变肿瘤,提示其他机制(如PIK3CA改变)导致IHC检测到的S6磷酸化增强。mTOR 抑制剂治疗反应与通路的下游效应子(S6K1和S6)之间缺少关联性,可能反映了调控机制的多样性。
研究表明,肿瘤的不同阶段均可获得mTOR通路激活突变,提示可能对mTOR 抑制剂治疗产生影响。Turajic的研究表明,约一半原发肿瘤可检测到亚克隆性的mTOR、TSC1和TSC2突变,转移灶中不能检测到,因此只有含有mTOR通路突变克隆的肿瘤才可适合接受mTOR 抑制剂治疗。这一点在明显治疗反应患者中得到支持,此类患者多个肿瘤部位都可检测到mTOR通路激活突变,且为高等位基因突变频率。
点评
越来越多研究表明,NGS指导下的分子标志物会对肿瘤精准治疗起着非常重要的指导意义,本研究证实mTOR、TSC1及TSC2基因突变和PTEN IHC阴性可作为RCC mTOR 抑制剂的疗效预测标志物,对于接受mTOR通路抑制剂的其他类型肿瘤患者也将有很重要的指导意义。
参考文献:
PTEN expression and mutations in TSC1, TSC2 and MTOR are associated with response to rapalogs in patients with renal cell carcinoma[J]. Int J Cancer.



