摘要
RAS基因(KRAS、NRAS和HRAS)突变在各种肿瘤中的总体发生率约为20%~30%。RAS基因突变使得蛋白始终处于GTP结合状态,导致Ras蛋白结构性激活并使得多个下游通路持续激活,包括丝裂原活化蛋白激酶(MAPK)及磷酸肌醇3激酶(PI3K)通路。RAS突变增加锚定非依赖性细胞生长,与肿瘤发生和侵袭相关。一直以来针对RAS突变的靶向治疗多以失败告终,但人们对其探索从未终止。本结果显示,RAS共突变的肺癌、肠癌及胰腺癌等患者预后较差,当驱动基因突变合并RAS基因突变时疗效预后较差,而一部分患者接受驱动基因的靶向治疗联合MEK抑制剂时,会显现很好的临床疗效,为这部分临床难治性患者提供了治疗选择。
研究背景
KRAS是最常发生的RAS突变(占所有RAS突变86%),其次NRAS(11%)和HRAS(3%)。肿瘤类型不同,RAS突变频率不同,如胰腺腺癌KRAS突变高达71%~98%,其次结直肠腺癌(35%~45%)和肺腺癌(19%~31%);皮肤黑色素瘤NRAS突变28%,甲状腺癌8%~9%;膀胱尿路上皮癌HRAS突变6%,头颈部鳞癌5%,甲状腺癌3%~4%。此外,每个RAS基因的特定密码子突变频率在不同癌种也有不同,不同密码子突变可导致不同的下游信号模式。
许多临床研究试图针对肿瘤的RAS突变进行治疗,如阻断RAS激活的重要步骤RAS膜结合或是靶向Ras下游效应信号,多数未能证明临床获益,如Tipifarnib(法尼基转移酶抑制剂)和L-778,123(法尼基转移酶和1型香叶烯基转移酶双重抑制剂)(阻滞Ras膜结合)在KRAS突变肿瘤中活性极低。此外,KRAS突变非小细胞肺癌患者接受MEK抑制剂靶向下游信号或是MEK和AKT双重抑制剂治疗胰腺癌,临床获益均未超过化疗。但近期研究显示,KRAS G12C突变,采用AMG 510(KRAS G12C小分子抑制剂)治疗有获益。一例仅携带KRAS突变的Rosai-Dorfman综合征患者接受MEK抑制剂考比替尼治疗疗效显著,因此基因组共突变等因素也可能降低针对RAS信号药物的治疗反应。
研究方法
采用NGS对1,937例不同肿瘤患者的RAS突变进行探索,同时还研究了临床特征、基因组共突变和RAS突变对生存的影响以及匹配治疗的治疗作用,治疗包括MEK抑制剂联合靶向共突变的药物。
研究结果
1,937例患者中20.9%(405/1,937)携带RAS突变,多数RAS突变病例具有基因组共突变(95.3%,中位数3,范围0~51),涉及的致癌信号相关基因包括PI3K通路(31.4%)、细胞周期(31.1%)、酪氨酸激酶家族(21.5%)及MAPK通路(18.3%)。RAS突变肿瘤患者的总生存(OS)差于野生型患者(P=0.02[多变量]),KRAS突变患者的OS更差。RAS突变与PI3K途径或细胞周期相关基因突变共存时OS更差(P=0.004和P<0.0001,[多变量])。RAS突变患者中,单独MEK抑制剂治疗不改善无进展生存(PFS),对应靶向治疗联合MEK抑制剂时PFS有延长趋势(与使用不匹配治疗患者相比)(HR: 0.79, 95% CI: 0.61~1.03, P=0.07),3/9例患者接受MEK抑制剂联合患者特异性靶向治疗药物时获得客观治疗反应。
表1 不同RAS突变以及密码子突变患者的OS
图1与RAS共存的其他致癌通路的基因突变
图2 RAS和PI3K通路或细胞周期相关基因突变共存时OS更差
图3不接受靶向治疗,单药MEK抑制剂及接受MEK抑制剂靶向治疗患者的PFS
图4患者接受MEK抑制剂及其他靶向治疗案例
讨论
本研究报道了 1,937例各种类型肿瘤的RAS突变和伴随基因改变,20.9%的患者检出了RAS改变,RAS突变易发生于胰腺癌(72.1%[44/61],比值比[OR]:8.41),阑尾恶性肿瘤(57.8%[37/64],OR:3.37)和结直肠癌(57.3%[106/185],OR:4.45)。与野生型RAS相比,RAS突变肺癌、结直肠癌和胰腺癌的生存差(HR:1.24,95%CI:1.03~1.48,P=0.02[多变量])(表1),与既往报道一致。不同类型RAS突变中,KRAS突变与更差OS相关(HR:1.30,95%CI:1.07~1.59,P=0.01[多变量]),KRAS G12V、KRAS G13D和KRAS扩增与OS差相关(HR:1.64,95%CI:1.18~2.3,P=0.004;HR:2.07,95%CI:1.27~3.38,P=0.004;HR:1.88,95%CI:1.09~3.24,P=0.02)(表1),与既往报告一致,不是所有RAS突变都可以影响预后。
不同的临床结果归因于异常RAS与GTP结合能力的不同,从而导致下游信号和效应的不同。如,Ihle等发现KRAS G12D突变细胞株中PI3K信号优先激活,RalA/B途径激活与KRAS G12C突变相关,下游效应的差异取决于特定密码子的突变,影响克隆数目和肿瘤生长,解释了不同RAS突变患者临床结果的不一致。本研究还发现与RAS异常共存的其他通路突变也能影响生存结果,RAS与PI3K通路突变或细胞周期相关基因突变共存时,OS更差(HR:1.52,95%CI:1.15~2.01,P=0.004;HR:1.99,95%CI:1.49~2.67,P<0.0001[多变量](图2),这一结果与既往研究一致,共突变特别是KRAS和CDKN2A共突变与无病生存更差相关,与胰腺腺癌更差OS相关。需要进一步研究RAS下游信号和基因共突变的影响,以更好地治疗RAS突变恶性肿瘤。
如上所述,尝试靶向RAS突变的治疗主要是阻断RAS膜结合或抑制RAS下游效应(主要是MEK抑制剂或与PI3K、AKT或mTOR抑制剂联合使用),多数未产生满意的抗肿瘤活性。本研究证明,MEK抑制剂抑制MAPK通路(N=17)与非匹配治疗(N=143)相比,PFS无改善(HR:1.14,95%CI:0.60~2.19,P=0.67)(图3),当MEK抑制剂联合其他对应驱动基因靶向治疗时,PFS有改善趋势,但未达统计学意义(图3)。但有报道Rosa-Dorfman病患者,MEK抑制剂考比替尼效果良好,该患未携带除RAS基因外的任何共突变。
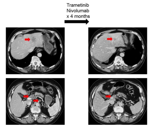
因此靶向RAS突变的药物,如MEK抑制剂可能会因大量共突变导致耐药,研究中观察到,RAS突变的多数患者携带的基因共突变可能起到了很重要的致癌作用(图1),因此如要有效的靶向抑制RAS可能需要同时抑制MEK通路及每个患者特异性的共出现的致癌突变。本研究证实,同时应用MEK抑制剂联合靶向匹配的共突变靶向药物可获得33%的客观缓解率,本研究中一例胰腺癌携带KRAS和CDKN2A突变,给予曲美替尼和哌柏西利治疗,部分缓解疗效维持了9个月,该患曾既往接受过含哌柏西利的治疗失败,但当时该方案中未包括MEK抑制剂,提示临床阶段这种治疗方式值得进一步探索。
点评
RAS突变是各类肿瘤中最常见的突变类型之一,这部分患者疗效、预后较差,针对其进行的靶向治疗研究多以失败告终。本项研究的亮点之处就是提出了新的理论,即RAS治疗的关键在于起共同突变的致癌基因,当患者出现了RAS基因突变,需要同时靶向MEK通路及对应的驱动基因,为更好的治疗RAS突变患者提供了有效的探索方向。
参考文献:
Prognostic Implications of RAS Alterations in Diverse Malignancies and Impact of Targeted Therapies. Int J Cancer. 2019



